Archive for October, 2017
A Pretty Little Orionid Meteor
Posted in 5DMII, Astrophotography, interval exposure, Long exposures on October 23, 2017 by budbranchUpdate: I Broke My Darn Leg One Year Ago!
Posted in Available Light, Cellphone camera, Handheld on October 20, 2017 by budbranchDear blog followers –
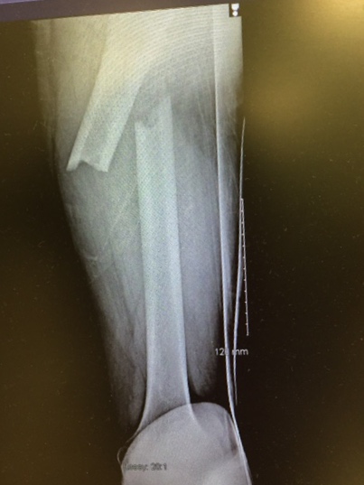
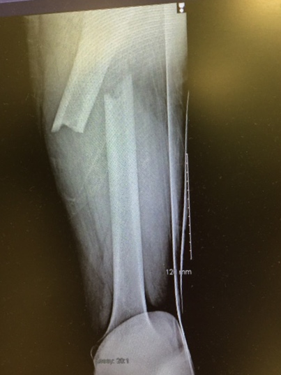
It’s been one year since I broke my femur – you can see the progress of my healing in this image:

I’m 95% healed, back on all my daily activities (including yoga!). The ortho doc said that if I have any trouble doing anything, I should just try harder!
Here is my original blog post, for your reading pleasure:
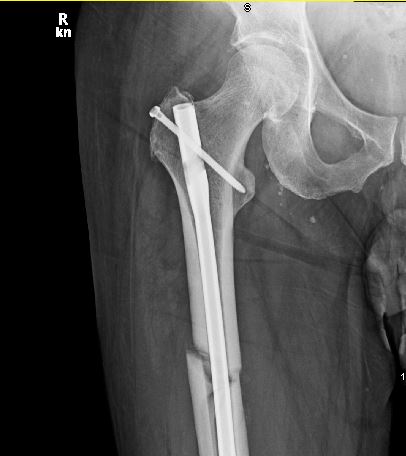
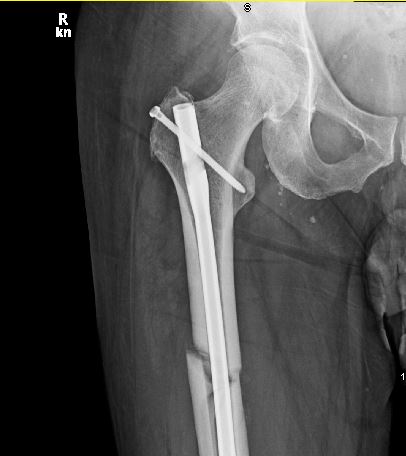
A friend offered a friendly ride on a borrowed mtn bike last week – the brakes failed on downhill, I bailed off and tumbled, and cleanly broke my right femur. It didn’t penetrate the skin, nor (most importantly) cut my femeral artery. Pure luck.
2:25PM We were by ourselves, out of cell coverage, 14 miles from the bottom. He bundled me up and headed downhill for help. 10 minutes later, two brothers on ATVs came down from above. One gave me his coat and stayed with me, the other went back uphill to find cell coverage and activate EMS. 3:10 The other brother returned, reporting that EMS was on the way. It took a couple more hours to get me IV-d, medicated, and transported two miles down the trail, where a medivac chopper could land in a meadow and fly me out.
I was in the ER in Santa Fe by 6:00PM – they did surgery ASAP: aligned the bones, drilled out the core, and installed an internal continuous rod, screwed everything together and stapled me up! I was in my room by 3AM.
Four days in hospital (St Vincent Med Center), now five days at home, healing nicely. Thanks for your interest – here are a few pics, enjoy the video too:

























